Phát hiện dấu hiệu nghi ngờ di căn ung thư đầu tụy nhờ đọc chéo kết quả CT với chuyên gia Nhật
Sau phẫu thuật cắt khối tá tụy, bà N.K.C. (59 tuổi) vẫn kiên trì theo dõi định kỳ. Dù đã chụp CT tại bệnh viện điều trị, bà vẫn tìm đến Phòng khám Bernard để tham khảo ý kiến thứ hai từ Bệnh viện Đại học Yamanashi (Nhật Bản). Nhờ đó, các bác sĩ phát hiện dấu hiệu nghi ngờ quanh thân tạng và hạch cạnh động mạch chủ, cần giám sát chặt chẽ để loại trừ nguy cơ tiến triển.
Ung thư đầu tụy là một trong những bệnh lý ác tính có tiên lượng xấu, thường được phát hiện ở giai đoạn muộn. Ngay cả sau phẫu thuật thành công, người bệnh vẫn cần được theo dõi định kỳ bằng hình ảnh học chuyên sâu như CT hoặc MRI để phát hiện sớm tái phát hoặc di căn xa.
Bệnh nhân N.K.C. (59 tuổi) từng được chẩn đoán carcinoma tuyến bóng Vater kiểu mật tụy, giai đoạn IIIb, hiện đang trong giai đoạn theo dõi sau điều trị. Dù đã thực hiện chụp CT bụng tại cơ sở điều trị, bà vẫn muốn đảm bảo kết quả được kiểm chứng bởi các chuyên gia hàng đầu, nên đã tìm đến Hệ thống Y khoa chuyên sâu Quốc tế Bernard - đơn vị hợp tác đọc chéo hình ảnh với Bệnh viện Đại học Yamanashi (Nhật Bản).
Thông qua hệ thống PACS kết nối trực tiếp, hình ảnh CT Scan của bệnh nhân được gửi sang Nhật Bản. Chỉ sau thời gian ngắn, giáo sư - bác sĩ chẩn đoán hình ảnh Bệnh viện Đại học Yamanashi đã phản hồi báo cáo chi tiết.
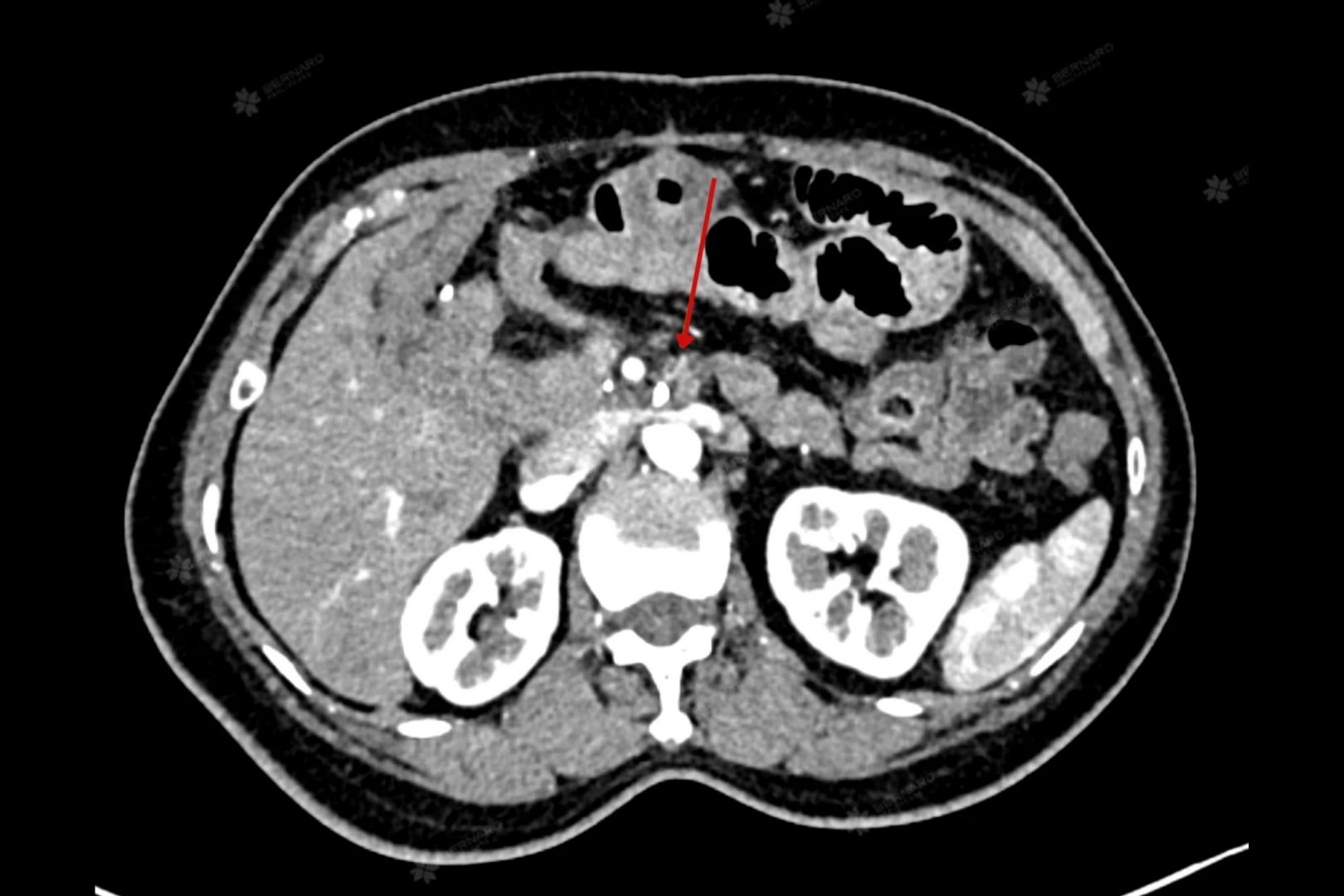
Kết quả trả về nêu rõ, không phát hiện khối u tái phát tại phần tụy còn lại sau phẫu thuật cắt khối tá tụy. Tuy nhiên, vùng mô mềm quanh thân tạng và động mạch gan chung có biến đổi hậu phẫu, cần theo dõi sát để loại trừ khả năng tiến triển bất thường.
Ngoài ra còn ghi nhận một số hạch to rải rác vùng cạnh động mạch chủ bụng, chưa có bằng chứng xâm lấn mạch máu nhưng không thể loại trừ hoàn toàn nguy cơ di căn.
Nhờ dịch vụ đọc chéo CT/MRI cùng chuyên gia Nhật, bà C. nhận được đánh giá độc lập, chuyên sâu, giúp yên tâm hơn trong quá trình theo dõi và điều trị.
Bài viết có hữu ích với bạn?
Có thể bạn quan tâm
Đăng ký nhận bản tin sức khoẻ
Để chủ động bảo vệ bản thân và gia đình
Đăng ký nhận bản tin sức khoẻ để chủ động bảo vệ bản thân và gia đình
