Phát hiện cùng lúc túi phình động mạch cảnh và u màng não nhờ tầm soát chủ động tại Bernard
Không có triệu chứng đau đầu, chóng mặt hay rối loạn thị giác, chị N. (41 tuổi) vẫn chủ động thực hiện thêm MRI sọ não khi khám sức khỏe định kỳ tại Phòng khám Bernard. Quyết định này giúp phát hiện đồng thời hai tổn thương nguy hiểm: túi phình động mạch cảnh và u màng não - đều tiềm ẩn nguy cơ đe dọa tính mạng nếu bỏ sót.
Chị N. đến Hệ thống Y khoa Chuyên sâu Quốc tế Bernard theo chương trình khám sức khỏe định kỳ của công ty. Trước đó, chị hoàn toàn không có biểu hiện bất thường, đặc biệt là các triệu chứng thần kinh như đau đầu, chóng mặt, co giật hay rối loạn thị giác.
Ý thức rằng độ tuổi trung niên có thể tiềm ẩn nhiều bệnh lý nguy hiểm dù không biểu hiện, chị chủ động thực hiện thêm MRI sọ não - hạng mục nằm ngoài danh mục gói khám ban đầu - nhằm tầm soát các bệnh lý mạch máu và cấu trúc trong não. Nhờ đó, hai tổn thương đáng lo ngại đã được phát hiện sớm.
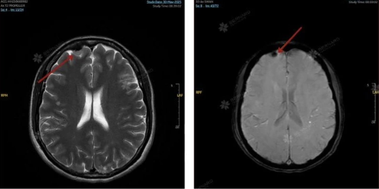
Kết quả MRI ghi nhận cùng lúc hai bất thường có ý nghĩa: túi phình động mạch cảnh trong phải kích thước khoảng 3 x 4 mm và u màng não có vôi hóa vùng trán phải, sát bản sọ. Cả hai tổn thương đều chưa gây triệu chứng nhưng tiềm ẩn rủi ro lớn nếu không theo dõi hoặc xử trí đúng thời điểm.
Túi phình động mạch cảnh là tình trạng đoạn mạch máu đưa máu lên não bị giãn phồng bất thường. Dù không phổ biến, đây là bệnh lý nguy hiểm vì có thể hình thành cục máu đông trôi lên não, gây đột quỵ thiếu máu.
Túi phình còn có thể chèn ép các dây thần kinh hoặc cấu trúc lân cận, gây rối loạn thị giác, đau đầu hoặc yếu liệt khi kích thước tăng dần. Nếu túi phình vỡ, bệnh nhân sẽ rơi vào tình trạng xuất huyết não - cấp cứu nguy hiểm với tỷ lệ tử vong và tàn phế cao.
Kích thước túi phình của chị N. chưa vượt ngưỡng nguy hiểm, nhưng vị trí gần nền sọ khiến việc theo dõi và lựa chọn thời điểm can thiệp trở nên phức tạp hơn, tuyệt đối không thể chủ quan.
U màng não là khối u phát triển từ màng bao quanh não và tủy sống. Dù phần lớn lành tính, u vẫn có thể gây đau đầu kéo dài, giảm thị lực, nhìn đôi, động kinh mới khởi phát, yếu liệt tay chân, thay đổi hành vi, rối loạn trí nhớ, tăng áp lực nội sọ hoặc xuất huyết trong u. Nếu không được chẩn đoán và theo dõi sớm, u có thể gây tổn thương thần kinh vĩnh viễn hoặc đe dọa tính mạng.
Sau khi hoàn tất chương trình khám, bác sĩ tại Bernard giải thích chi tiết cho chị N. về hai tổn thương, các rủi ro tiềm ẩn và những dấu hiệu cần đặc biệt lưu ý. Chị được giới thiệu đến bệnh viện chuyên khoa sâu để tiếp tục theo dõi và lập kế hoạch can thiệp phù hợp.
Phòng khám Bernard tiếp tục đồng hành trong toàn bộ quá trình chăm sóc y khoa của bệnh nhân.
Bài viết có hữu ích với bạn?
Có thể bạn quan tâm
Đăng ký nhận bản tin sức khoẻ
Để chủ động bảo vệ bản thân và gia đình
Đăng ký nhận bản tin sức khoẻ để chủ động bảo vệ bản thân và gia đình

