BS.CK1 Lâm Thiên Huệ - Khoa Hồi sức tích cực, Bệnh viện Gia An 115
Tại sao họng nổi mụn nước sau khi ăn món cay?
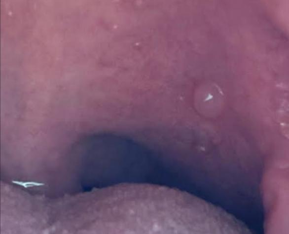
Câu hỏi
Gần đây khoảng 1 tháng, sau khi ăn món cay thì họng tôi bị nổi mụn này, nó cứ xẹp xuống và cương lại sau khi ăn, xin BS tư vấn giúp ạ!
Trả lời
Chào bạn,
Dựa vào hình ảnh bạn gửi có thể là tổn thương bóng nước do Herpes Simplex Virus, đây là chủng virus phổ biến ở 80% người Việt Nam trưởng thành, lây truyền qua đường tiếp xúc niêm mạc trực tiếp như: ôm hôn, ăn chung bát đũa… Khi cơ thể giảm sức đề kháng, mệt mỏi thì virus này sẽ tái hoạt động tạo nên những tổn thương hình bóng nước đặc biệt là trong vùng họng miệng như bạn đã thấy. Những bóng nước này thường sẽ tự hết và bạn sẽ không cần phải làm bất cứ điều gì cả.
Hiện tại, hãy giữ gìn vệ sinh sạch sẽ vùng họng miệng, những bóng nước này theo thời gian sẽ tự hết, đừng cố gắng làm vỡ những bóng nước này trừ khi bóng nước rất to thì đến bệnh viện để được chích xẹp và bôi thuốc nhé bạn.
Thân ái chào bạn.
Bài viết có hữu ích với bạn?
Được tìm nhiều:
Có thể bạn quan tâm
Đăng ký nhận bản tin sức khoẻ
Để chủ động bảo vệ bản thân và gia đình
Đăng ký nhận bản tin sức khoẻ để chủ động bảo vệ bản thân và gia đình
