Nhờ chủ động khám sức khỏe, nữ bệnh nhân 65 tuổi phát hiện u phổi ác tính trước khi di căn lan rộng
Nhận thức được những nguy cơ sức khỏe do tuổi tác, nữ bệnh nhân 65 tuổi chủ động đi khám sức khỏe tại Phòng khám Bernard và được phát hiện u phổi ác tính nhờ chụp CT Scan phổi liều thấp. Tổn thương được nhận diện khi chưa có dấu hiệu lan rộng ra cơ quan xa, giúp mở ra cơ hội điều trị sớm và cải thiện tiên lượng.
Nhận thức bản thân thuộc nhóm nguy cơ cao mắc các bệnh lý tiềm ẩn nguy hiểm do tuổi tác, bà N.T.N.K. (65 tuổi) đặc biệt cẩn trọng trước những thay đổi bất thường của cơ thể và quyết định đến Hệ thống Y khoa chuyên sâu Quốc tế Bernard để kiểm tra.
Sau thăm khám sơ bộ cùng TTƯT. BS.CK2 Hồ Thị Hồng - Giám đốc chuyên môn Bernard Healthcare, bệnh nhân được chỉ định thực hiện các xét nghiệm cần thiết nhằm loại trừ bệnh lý tiêu hóa tiềm ẩn. Đồng thời, để kiểm tra chi tiết bất thường ở cung động mạch chủ và tầm soát dự phòng các bệnh lý phổi nguy hiểm, đặc biệt ở người trên 60 tuổi, bác sĩ chỉ định chụp CT Scan phổi liều thấp.
CT Scan phổi liều thấp là phương pháp có khả năng phát hiện sớm các tổn thương kích thước nhỏ, dễ bị bỏ sót hoặc che lấp trên X-quang ngực thông thường, đồng thời giảm tối đa liều tia X, hạn chế ảnh hưởng cho bệnh nhân.
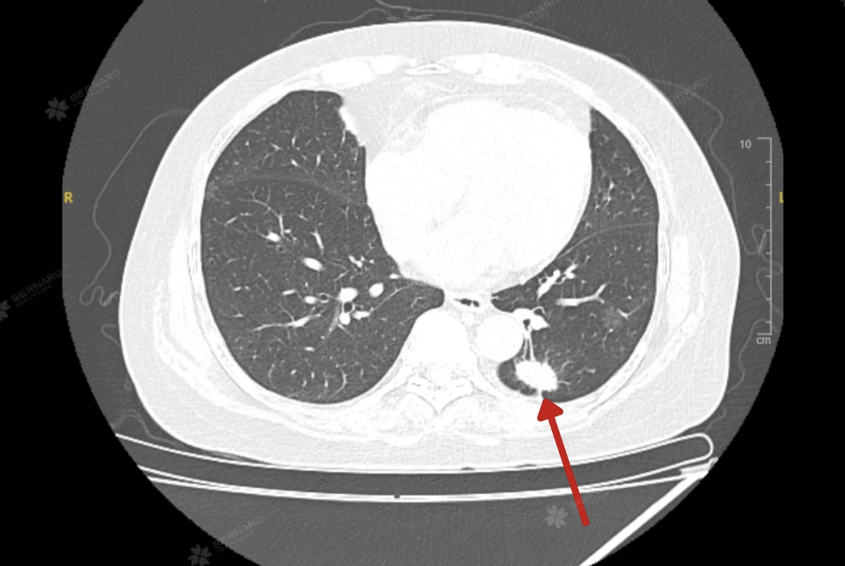
Kết quả CT Scan của bà K. cho thấy tổn thương choán chỗ thùy dưới phổi trái (S10), kích thước khoảng 1,5 x 2,5 cm, đậm độ mô, bờ tua gai và có co kéo mô phổi xung quanh. Những đặc điểm này gợi ý u phổi ác tính, cần kết hợp sinh thiết để xác định chính xác bản chất tổn thương.
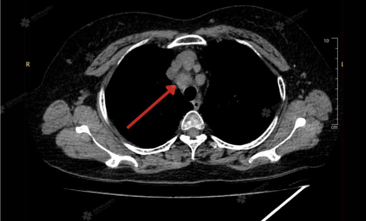
Đáng chú ý, CT Scan còn ghi nhận một số hạch trung thất nghi di căn, với hạch lớn nhất thuộc nhóm 2, cùng các nốt nhỏ quanh rãnh liên thùy bé phổi phải (đường kính khoảng 3 mm) và nốt dưới màng phổi thùy lưỡi (đường kính khoảng 7 mm).
Đây có thể là dấu hiệu cho thấy tổn thương đã bước vào giai đoạn di căn hạch trung thất, tuy nhiên chưa ghi nhận bằng chứng lan rộng đến các cơ quan xa.
Theo đánh giá của bác sĩ, trường hợp của bà K. được phát hiện ở thời điểm còn sớm, trước khi khối u có dấu hiệu xâm lấn và lan rộng, qua đó tăng khả năng điều trị, kiểm soát bệnh và cải thiện đáng kể tiên lượng sống.
Sau khi được tư vấn kỹ lưỡng và theo nguyện vọng, bệnh nhân được giới thiệu đến bệnh viện chuyên sâu về hô hấp và ung bướu để tiếp tục đánh giá mô học và xây dựng phác đồ điều trị chuyên biệt. Bernard Healthcare tiếp tục giữ vai trò đồng hành y khoa sau điều trị và hỗ trợ chăm sóc sức khỏe khi bệnh nhân có nhu cầu.
Bài viết có hữu ích với bạn?
Có thể bạn quan tâm
Đăng ký nhận bản tin sức khoẻ
Để chủ động bảo vệ bản thân và gia đình
Đăng ký nhận bản tin sức khoẻ để chủ động bảo vệ bản thân và gia đình
