Ngậm tăm khi ngủ khiến tăm tre 6cm xuyên thủng thành dạ dày
Ngày 15/1/2026, các bác sĩ khoa Ngoại Tiêu hóa Bệnh viện Thống Nhất cho biết đã thực hiện ca đại phẫu lấy một cây tăm tre dài khoảng 6cm đâm xuyên thành dạ dày của một nữ bệnh nhân. Đáng nói, triệu chứng ban đầu của bệnh nhân rất mờ nhạt, dễ nhầm lẫn với các bệnh lý tiêu hóa thông thường.
Bệnh nhân là bà Nguyễn Thị T. (SN 1695), nhập viện trong tình trạng đau bụng âm ỉ vùng thượng vị. Theo BS.CK1 Trần Ngọc Thạch - Khoa Ngoại Tiêu hóa, Bệnh viện Thống Nhất, triệu chứng này rất dễ bị nhầm lẫn với các bệnh lý thông thường như viêm dạ dày hoặc trào ngược thực quản. Bản thân bà T. cũng hoàn toàn không nhớ mình đã nuốt phải dị vật từ khi nào.
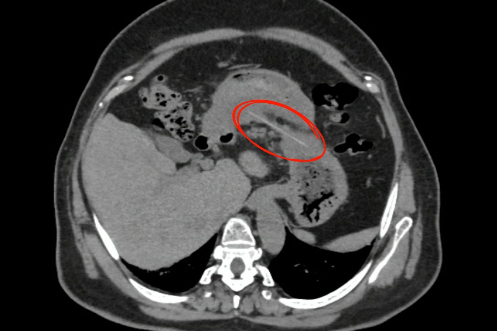
Qua quá trình thăm khám và nội soi, các bác sĩ phát hiện một khối áp xe ở thành dạ dày. Nhận thấy dấu hiệu bất thường, bệnh nhân được chỉ định chụp CT-scan. Kết quả hình ảnh đã xác nhận có một dị vật hình que, sắc nhọn đã đâm xuyên qua thành dạ dày và đi vào trong ổ bụng.
Ngay sau khi hội chẩn, ekip phẫu thuật quyết định can thiệp để lấy dị vật. Ban đầu, các bác sĩ thực hiện phẫu thuật nội soi để thám sát. Tuy nhiên, do dị vật nằm ở mặt sau dạ dày, cộng với tình trạng béo phì của người bệnh và các tổ chức xung quanh đã bị dính nhiều do dị vật nằm trong bụng lâu ngày, việc tìm kiếm qua nội soi không mang lại kết quả.
Trước tình huống khó khăn, các bác sĩ đã quyết định chuyển sang mổ hở. Thậm chí khi đã mổ mở, việc tìm kiếm vẫn rất gian nan do cây tăm dù dài nhưng lại rất mỏng, khó cảm nhận bằng tay.
Sau nỗ lực bóc tách, ekip đã lấy ra được một cây tăm tre còn nguyên vẹn, dài khoảng 6cm đã đâm xuyên thành dạ dày. Các bác sĩ đã tiến hành khâu lỗ thủng, rửa sạch ổ bụng và dẫn lưu cho bệnh nhân.

Hiện tại, sau 6 ngày hậu phẫu, sức khỏe bà T. đã phục hồi tốt, sinh hoạt bình thường và chuẩn bị được xuất viện.
Cảnh báo về thói quen "ngậm tăm" của người Việt
BS.CK2 Hoàng Anh Bắc - Phó trưởng khoa Ngoại Tiêu hóa, Bệnh viện Thống Nhất cho biết, trường hợp của bà T. là lời cảnh báo nghiêm trọng về thói quen ngậm tăm sau khi ăn hoặc khi ngủ. Trong môi trường axit của dạ dày, tăm tre không hề bị mềm đi hay tiêu hóa mà trở thành một "mũi giáo" sắc nhọn, có thể đâm thủng bất kỳ vị trí nào trên đường tiêu hóa mà nó đi qua.
Để phòng tránh những tai nạn tương tự, BS.CK2 Hoàng Anh Bắc khuyến cáo người dân tuyệt đối không ngậm tăm khi nói chuyện, khi làm việc và đặc biệt là khi đi ngủ để tránh vô tình nuốt phải. Nên sử dụng chỉ nha khoa thay cho tăm tre để đảm bảo an toàn.
Bên cạnh đó, nếu có cảm giác đau bụng âm ỉ vùng thượng vị mà không rõ nguyên nhân, cần đến cơ sở y tế để kiểm tra bằng các phương tiện chẩn đoán hình ảnh hiện đại.
Bài viết có hữu ích với bạn?
Có thể bạn quan tâm
Đăng ký nhận bản tin sức khoẻ
Để chủ động bảo vệ bản thân và gia đình
Đăng ký nhận bản tin sức khoẻ để chủ động bảo vệ bản thân và gia đình
