Mất 3 răng cửa vì sợ cạo vôi răng
Ám ảnh tiếng rung của máy siêu âm khi cạo vôi răng, nữ bệnh nhân 56 tuổi đã nhiều năm không đi lấy vôi răng. Khi đến Phòng khám Nha khoa Hạnh Phúc, bệnh nhân phải đối mặt với hậu quả nặng nề: viêm nha chu tiến triển, tiêu xương ổ răng và mất 3 răng cửa hàm dưới.
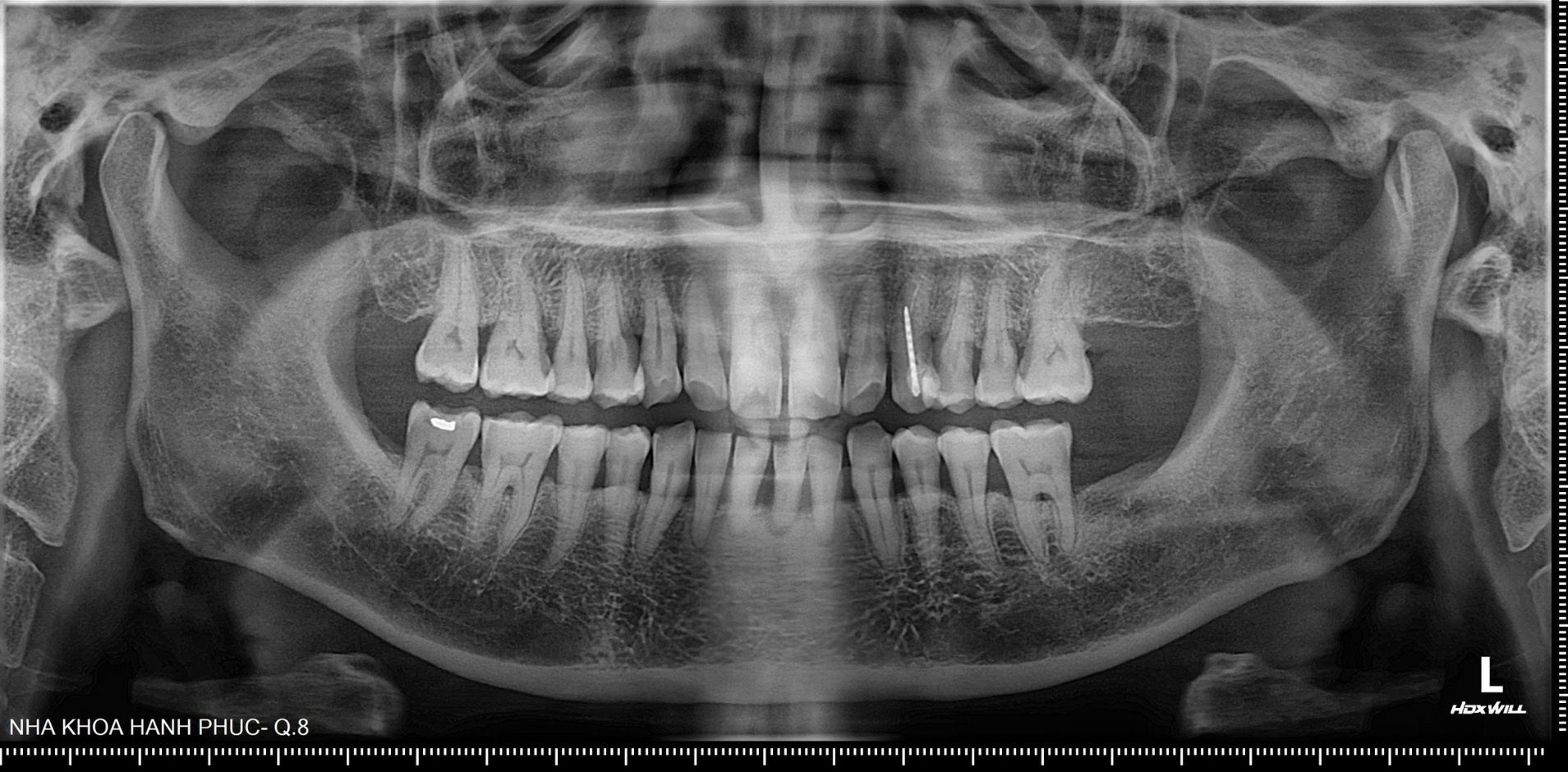
Theo BS.CK1 Phan Bá Ngọc - Giám đốc Phòng khám Nha khoa Hạnh Phúc, bệnh nhân đến khám trong tình trạng đau, răng cửa lung lay độ 3-4. Qua thăm khám và chụp X-quang, bác sĩ phát hiện tình trạng viêm nha chu nặng, tiêu xương ổ răng nhiều, túi nha chu sâu ở 3 răng cửa hàm dưới (R31, R32, R41).
Trước diễn tiến này, bác sĩ chỉ định nhổ 3 răng bị viêm nha chu nặng, sau đó tiến hành cắm 2 trụ implant và làm cầu răng sứ 3 răng. Chi phí điều trị khoảng 39 triệu đồng, trong khi chi phí cạo vôi răng định kỳ chỉ khoảng 200.000 đồng.

BS.CK1 Phan Bá Ngọc lưu ý, nhiều người vẫn còn hiểu lầm rằng cạo vôi răng làm mòn răng, hư men răng hoặc gây đau buốt kéo dài. Thực tế, kỹ thuật cạo vôi sử dụng đầu rung siêu âm giúp làm bong mảng bám, vôi răng, không gây tổn hại men răng. Một số trường hợp răng nhạy cảm có thể có ê buốt nhẹ, nhưng tình trạng này sẽ nhanh chóng hết.
Bác sĩ khuyến cáo, người dân nên cạo vôi răng định kỳ 3-6 tháng một lần, duy trì thói quen đánh răng 2 lần mỗi ngày, làm sạch đủ 3 mặt răng bằng động tác xoay tròn hoặc chải dọc thân răng, đồng thời tái khám răng miệng ít nhất 6 tháng/lần để phát hiện sớm các bệnh lý nha chu. Đừng để những quan niệm sai lầm và nỗi sợ hãi khiến bạn phải đánh đổi răng thật bằng răng giả, và chi phí gấp hàng trăm lần.
Bài viết có hữu ích với bạn?
Có thể bạn quan tâm
Đăng ký nhận bản tin sức khoẻ
Để chủ động bảo vệ bản thân và gia đình
Đăng ký nhận bản tin sức khoẻ để chủ động bảo vệ bản thân và gia đình
