Đi cầu phân mỏng kéo dài, cụ ông 79 tuổi phát hiện ung thư trực tràng giai đoạn tiến triển
Tưởng chỉ là biểu hiện tuổi già, ông N. (79 tuổi) bất ngờ phát hiện ung thư trực tràng giai đoạn tiến triển sau khi đi khám vì cảm giác đi cầu không hết, phân mỏng dẹt, sụt cân bất thường. Đây là lời cảnh báo cho mọi người, đặc biệt người trên 40 tuổi, không nên xem nhẹ các thay đổi nhỏ của hệ tiêu hóa.
Dấu hiệu nhỏ, hiểm họa lớn
Phân mỏng như lá lúa, đi cầu nhiều lần nhưng không thấy hết, sụt cân mà không biết lý do…, tất cả những biểu hiện tưởng như nhẹ nhàng, thoáng qua này lại là những gì ông N.C.N (79 tuổi) đã trải qua trước khi biết mình mắc ung thư trực tràng.
Ông từng nghĩ đó chỉ là dấu hiệu tuổi già, thậm chí còn tự trấn an rằng lớn tuổi rồi thì phải vậy thôi. Nhưng khi thấy phân mỏng dẹt, có lúc dính máu, cảm giác đầy bụng, mệt mỏi dai dẳng, ông mới quyết định đi khám tại Bernard Healthcare.
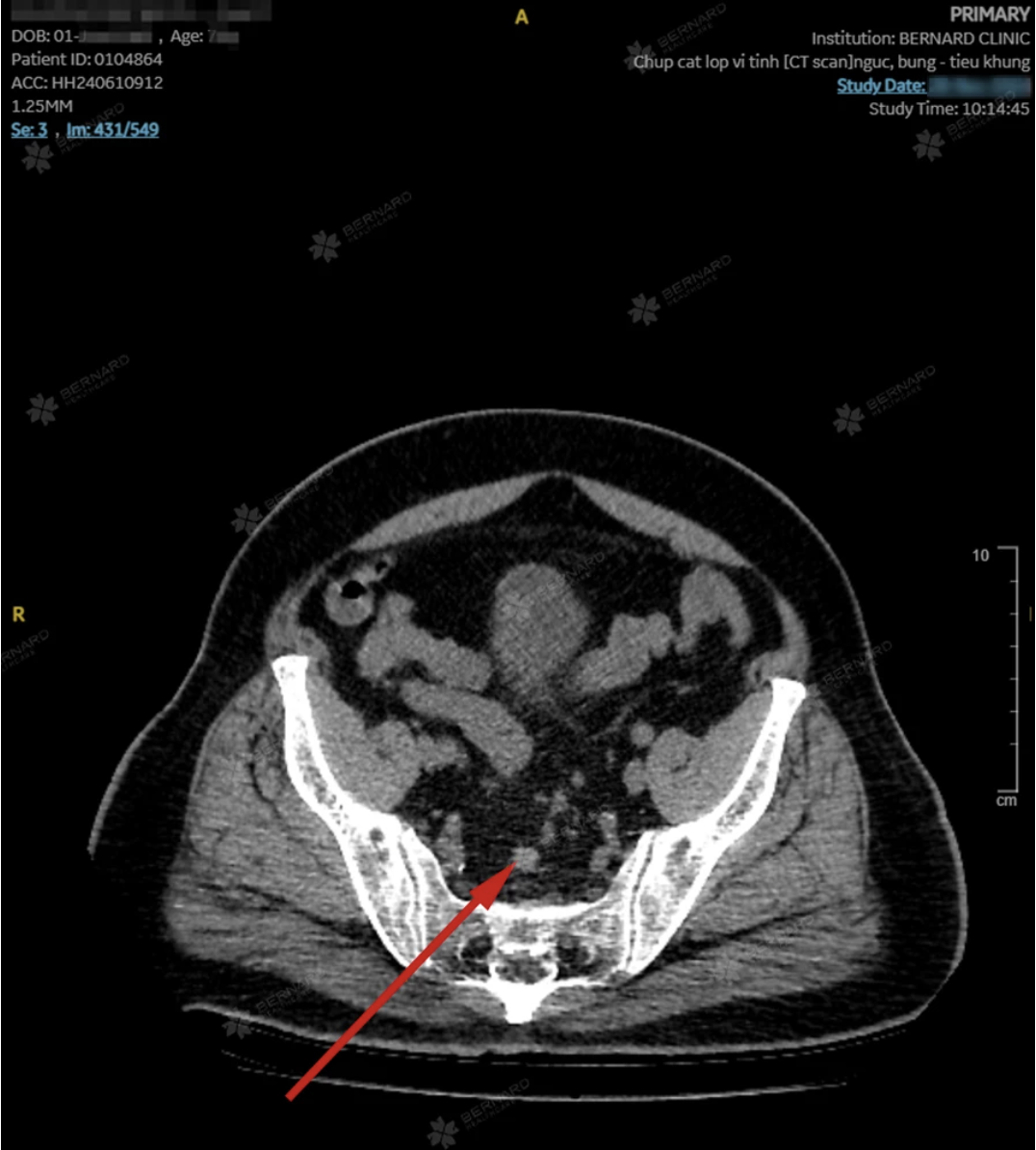
Tại đây, bác sĩ đã chỉ định thực hiện các xét nghiệm chuyên sâu, trong đó có nội soi đại trực tràng bằng ống mềm không đau. Kết quả cho thấy một khối u sùi tại đoạn trực tràng cách hậu môn khoảng 14 - 18cm, nghi ngờ ác tính. Sinh thiết ngay trong quá trình nội soi xác nhận: ung thư tuyến biệt hóa trung bình.
Chụp CT sau đó ghi nhận tổn thương lan rộng, dày thành trực tràng và có hạch quanh khu vực. Nhận định đây là ca bệnh tiến triển, các bác sĩ Bernard đã lập tức hội chẩn liên chuyên khoa Nội - Ngoại - Chẩn đoán hình ảnh và chuyển bệnh nhân đến bệnh viện chuyên khoa ung bướu để tiếp tục điều trị.
Ung thư đại trực tràng - Gặp ở cả người không triệu chứng rõ ràng
Theo thống kê của GLOBOCAN, năm 2022 tại Việt Nam, ung thư đại trực tràng đứng thứ 4 trong những loại ung thư thường gặp với hơn 16.800 trường hợp, chiếm 9,3% tổng số ca mắc ung thư. Đây là con số đáng báo động, nhất là khi phần lớn người bệnh đến khám khi đã ở giai đoạn muộn.
Nhiều người thường chủ quan, cho rằng các triệu chứng như đau bụng nhẹ, chán ăn, phân dẹt... chỉ là rối loạn tiêu hóa thông thường. Tuy nhiên, phân là "sản phẩm cuối" phản ánh trực tiếp sức khỏe đường ruột. Khi có thay đổi hình dạng (dẹt, mỏng), màu sắc (đậm, có máu) hoặc tần suất đi cầu bất thường, đây có thể là dấu hiệu hẹp lòng ruột do u phát triển, đặc biệt ở đại tràng và trực tràng.
Nếu các dấu hiệu kéo dài hơn một tuần, người bệnh nên đi khám ngay và thực hiện nội soi đại trực tràng - phương pháp duy nhất có thể phát hiện sớm polyp và tổn thương tiền ung thư.
Theo bác sĩ Bernard, nội soi ống mềm không đau hiện nay chỉ mất khoảng 20 phút, hoàn toàn an toàn và có thể kết hợp sinh thiết, điều trị ngay trong quá trình soi.
Chuẩn hóa nội soi đại tràng theo tiêu chuẩn Nhật Bản
Để nâng cao chất lượng chẩn đoán, Phòng khám Bernard đã triển khai hợp tác định kỳ với Bệnh viện Trung ương Kyoto Min-iren (Nhật Bản). Đội ngũ chuyên gia Nhật Bản đã đến trực tiếp đào tạo, kiểm soát kỹ thuật và đánh giá chất lượng quy trình nội soi tại Bernard.
Đặc biệt, từ tháng 8/2025, Bernard Healthcare sẽ lắp đặt màn hình giám sát nội soi kết nối real-time với bệnh viện tại Nhật, giúp các chuyên gia có thể hội chẩn từ xa trong các ca nội soi nghi ngờ, mang lại giá trị cao cho người bệnh. Đây là bước tiến để nội soi tại Việt Nam tiệm cận chuẩn quốc tế.

Nếu bạn hoặc người thân đang gặp vấn đề tiêu hóa kéo dài hoặc đơn giản là muốn kiểm tra để yên tâm, đừng đợi đến khi có triệu chứng nghiêm trọng. Đăng ký tư vấn hoặc liên hệ qua hotline 028 3535 2468 để giữ mức ưu đãi tốt nhất.
Bài viết có hữu ích với bạn?
Có thể bạn quan tâm
Đăng ký nhận bản tin sức khoẻ
Để chủ động bảo vệ bản thân và gia đình
Đăng ký nhận bản tin sức khoẻ để chủ động bảo vệ bản thân và gia đình
