Cứ ngỡ chỉ nghẹt cổ nhẹ, kỹ sư 33 tuổi bất ngờ phát hiện u nhú thanh quản khi khám sức khỏe định kỳ
Trong một lần khám sức khỏe định kỳ tại Bernard Healthcare theo chính sách chăm sóc sức khỏe doanh nghiệp, anh N.D.T (33 tuổi, kỹ sư) không ngờ rằng cuộc sống của mình sẽ rẽ sang hướng khác chỉ vì một chi tiết nhỏ trong quá trình nội soi.
Anh T. vốn là người có lối sống lành mạnh: không hút thuốc, ít rượu bia, không bệnh nền, lại còn thường xuyên tham gia khám sức khỏe định kỳ tại cơ quan. Với lịch trình bận rộn, mỗi lần khám đối với anh chỉ như một thủ tục cần hoàn tất. Tuy nhiên, lần kiểm tra gần đây tại Bernard Healthcare đã khiến anh thay đổi hoàn toàn suy nghĩ.
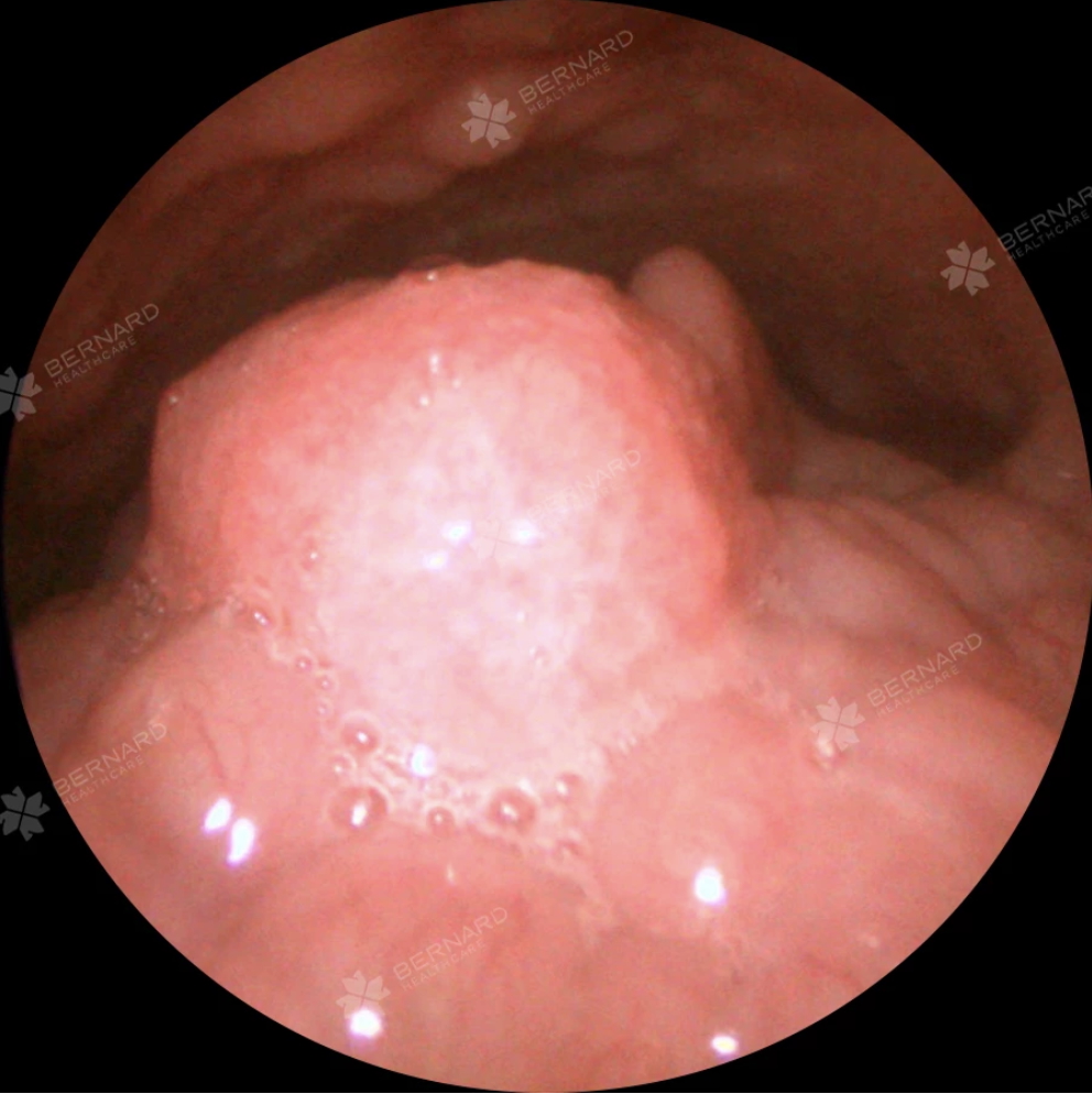
Mọi hạng mục kiểm tra ban đầu đều bình thường cho đến khi bác sĩ tiến hành nội soi Tai Mũi Họng. Tại khu vực hạ họng - thanh quản, cụ thể là vị trí nắp thanh môn bên phải, bác sĩ phát hiện một khối u nhú nhỏ nằm ở vùng thanh nhiệt - xoang lê, trong khi niêm mạc vòm họng hoàn toàn sạch sẽ.
Anh T. chia sẻ trước đó chỉ thấy cổ hơi nghẹt nhẹ, không khó thở hay nuốt vướng, giọng nói vẫn bình thường nên chưa bao giờ nghĩ có gì nghiêm trọng cả. Điều khiến phát hiện này càng đặc biệt là anh từng nội soi tại một cơ sở y tế khác vào năm ngoái, nhưng không ghi nhận tổn thương nào. Do cơ địa nhạy cảm khi nội soi, kết quả trước đó không chính xác và dễ bỏ sót tổn thương nhỏ.
Tại Bernard Healthcare, bác sĩ không chỉ có chuyên môn sâu mà còn hiểu tâm lý bệnh nhân, kiên trì trấn an và thực hiện kỹ lưỡng từng bước nội soi. Nhờ vậy, khối u nhú đã được phát hiện kịp thời.
Ngay sau khi xác định tổn thương, bác sĩ đã tư vấn anh T. cần tiến hành phẫu thuật cắt bỏ khối u để chẩn đoán xác định bằng sinh thiết mô học và phòng ngừa biến chứng về sau. Anh được giới thiệu đến bệnh viện chuyên khoa Tai Mũi Họng để thực hiện phẫu thuật an toàn. Sau mổ, kế hoạch theo dõi cụ thể được đặt ra: nội soi tái khám sau 2 tuần, nếu tiến triển tốt, tái khám định kỳ 1 tháng/lần để đảm bảo tổn thương không tái phát.
|
|
Bài viết có hữu ích với bạn?
Có thể bạn quan tâm
Đăng ký nhận bản tin sức khoẻ
Để chủ động bảo vệ bản thân và gia đình
Đăng ký nhận bản tin sức khoẻ để chủ động bảo vệ bản thân và gia đình

