Phòng khám Bernard phát hiện tụ máu dưới màng cứng nhờ MRI sọ não
Trong suốt hai tháng, người đàn ông 46 tuổi phải chịu đựng cơn đau đầu kéo dài và tăng dần. Không té ngã, không chấn thương, không dùng thuốc chống đông và rượu bia rất ít - mọi yếu tố khiến anh nghĩ tình trạng chỉ là đau đầu thông thường. Nhưng chỉ một lần chụp MRI sọ não tại Phòng khám Bernard đã giúp phát hiện một tổn thương nguy hiểm âm thầm tiến triển suốt nhiều ngày qua.
Ngày 14/11/2025, Anh H. (46 tuổi) đến Hệ thống Y khoa chuyên sâu Quốc tế Bernard trong tình trạng đau đầu 2 tháng, đau nhiều hơn trong vài ngày gần đây, đặc biệt khi di chuyển. Dù vậy, bệnh nhân tiếp xúc tốt, tri giác ổn, không có bất kỳ dấu hiệu thần kinh khu trú.
Điều khiên bệnh nhân chủ quan không đi khám ngay là vì không có chấn thương vùng đầu, không dùng thuốc chống đông, không uống rượu bia nhiều, không có bệnh lý nền đặc biệt.
Nhận thấy đây là tình trạng đau đầu kéo dài bất thường, bác sĩ tại Phòng khám Bernard chỉ định chụp MRI sọ não để tìm nguyên nhân sâu hơn thay vì chỉ điều trị triệu chứng.
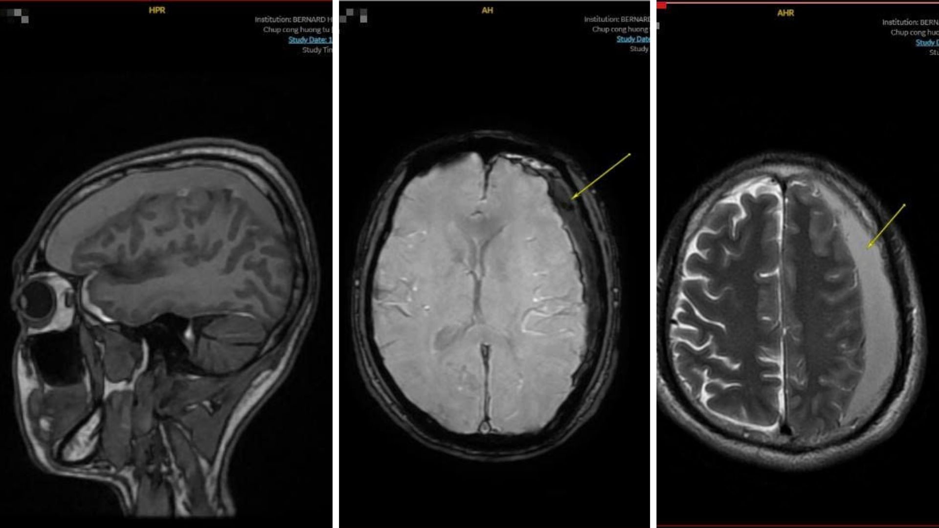
Kết quả MRI ghi nhận đồng thời nhiều dấu hiệu nguy hiểm. Bệnh nhân có tụ máu dưới màng cứng bán cầu não trái, dọc liềm não và lều tiểu não trái, bề dày khối máu tụ dmax khoảng 18mm.
Khối máu tụ đã ép não thất bên trái, khiến đường giữa lệch nhẹ sang phải. Dấu hiệu của khối máu tụ nhiều giai đoạn (cấp - bán cấp), cho thấy tình trạng đã tồn tại một thời gian dài.
Ngoài ra, bác sĩ cũng nhận thấy người bệnh bị dày nhẹ niêm mạc xoang hàm và xoang sàng hai bên.
Những tổn thương này lý giải rõ ràng tình trạng đau đầu dai dẳng của bệnh nhân và đặt anh vào nguy cơ biến chứng nội sọ, bao gồm phù não, thoát vị não hoặc tiến triển tụ máu.
Khi có kết quả MRI, Bernard Healthcare kích hoạt quy trình xử trí ca nguy cơ cao. Bác sĩ chẩn đoán hình ảnh mô tả chi tiết vị trí, giai đoạn của máu tụ, mức độ đè ép nhu mô và lệch đường giữa, những thông số quyết định người bệnh cần can thiệp ngoại khoa hay theo dõi.
Ngay lập tức, kết quả được chuyển đến bác sĩ ngoại thần kinh để đánh giá khả năng cần phẫu thuật dẫn lưu hoặc xử trí cấp cứu. Sau hội chẩn, bệnh nhân được chuyển viện đến cơ sở ngoại thần kinh chuyên sâu, đảm bảo thời gian vàng trong xử trí các tổn thương nội sọ.
Bernard Healthcare vẫn tiếp tục đồng hành, chuyển giao đầy đủ hồ sơ hình ảnh, xét nghiệm, giúp tuyến điều trị tiếp nhận nhanh chóng.
Bài viết có hữu ích với bạn?
Có thể bạn quan tâm
Đăng ký nhận bản tin sức khoẻ
Để chủ động bảo vệ bản thân và gia đình
Đăng ký nhận bản tin sức khoẻ để chủ động bảo vệ bản thân và gia đình
