Dán sứ veneer có tốt không? Có nên dán Laminate Veneer không?
Dán sứ veneer có tốt không? Câu trả lời nằm ở công nghệ dán sứ siêu mỏng giúp bảo vệ răng thật tối ưu. Khám phá ngay 5 ưu điểm vượt trội và những lưu ý quan trọng từ bác sĩ để có kết quả thẩm mỹ hoàn hảo nhất.
Sự thật: Dán sứ veneer có tốt không?
Để trả lời khách quan cho câu hỏi "dán sứ veneer có tốt không?", chúng ta cần phân tích dựa trên sự giao thoa giữa tiêu chuẩn lâm sàng khắt khe của bác sĩ và trải nghiệm thực tế từ phía khách hàng.
Bác sĩ đánh giá gì về phương án dán sứ veneer?
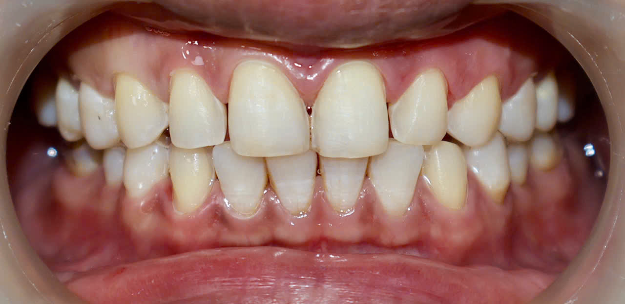
Theo bác sĩ Trịnh Minh Chiến (Nha khoa Lạc Việt Intech), mặt dán sứ Veneer được coi là "đỉnh cao" của nha khoa bảo tồn. Điểm cốt yếu nằm ở việc xâm lấn tối thiểu: bác sĩ chỉ cần xử lý bề mặt men răng từ 0.3mm đến 0.5mm, thậm chí có những ca không cần mài răng.
Nhờ cấu tạo mỏng nhẹ vượt trội, phương pháp này đại diện cho triết lý "xâm lấn tối thiểu". Việc bảo toàn cấu trúc tự nhiên không chỉ bảo vệ tủy răng mà còn tạo nền tảng bám dính vững chắc, giúp răng luôn khỏe mạnh.
Dù có vẻ ngoài mỏng manh, nhưng khi được liên kết hóa học với răng gốc qua hệ thống chất gắn chuyên dụng, mặt dán sẽ tạo thành một khối thống nhất với khả năng chịu lực nhai ấn tượng, loại bỏ nỗi lo ê buốt.
Không chỉ bền bỉ, chất liệu sứ cao cấp còn có độ thấu quang tự nhiên, giúp che lấp các khuyết điểm về màu sắc, khe thưa hay sứt mẻ, mang lại vẻ đẹp rạng rỡ và sống động như răng thật.
Do đó, theo bác sĩ Chiến, dán sứ veneer sẽ mang lại hiệu quả thẩm mỹ tối ưu và không gây hại tới răng nếu được thực hiện đúng chỉ định, đúng kỹ thuật.
Khách hàng đánh giá như thế nào về dán sứ veneer?
Dưới góc nhìn của khách hàng, cái "tốt" của Veneer không chỉ nằm ở số liệu mà còn ở sự an tâm. Vì không tác động sâu đến cấu trúc răng, nên khách hàng dán sứ veneer không gặp phải tình trạng ê buốt hay kích ứng tủy sau điều trị. Tuổi thọ của mặt sứ cao cấp có thể kéo dài từ 15 đến 20 năm, thậm chí bền vĩnh viễn nếu được chăm sóc đúng cách. Tuy nhiên, Veneer chỉ thực sự tốt khi được chỉ định đúng: những trường hợp sai lệch khớp cắn quá nặng hoặc răng nhiễm kháng sinh độ 4 sẽ không mang lại kết quả tối ưu.
Tóm lại, dán sứ Veneer là một giải pháp tối ưu nhất dành cho những ai khao khát nụ cười hoàn mỹ nhưng vẫn muốn giữ lại răng thật. Tuy nhiên, dán sứ veneer có tốt không còn phụ thuộc vào nhiều yếu tố khác, trong đó, vật liệu sứ và tay nghề của bác sĩ chính là 2 tiêu chí quan trọng nhất cần phải lưu ý.
Phương pháp dán Sứ Laminate Veneer có tốt không?
Vượt xa khỏi khái niệm làm đẹp thông thường, Laminate Veneer là sự giao thoa giữa công nghệ sứ thủy tinh Lithium Disilicate tinh xảo và kỹ thuật ép nhiệt Press hiện đại. Thay vì chỉ chạy theo sắc trắng nhân tạo, dòng sứ này theo đuổi triết lý "Veneer sinh học" - xây dựng các tiêu chuẩn thẩm mỹ trên nền tảng bảo tồn mô răng thật và sự hòa hợp với cơ thể.
Laminate Veneer xâm lấn tối thiểu
Laminate Veneer tại Lạc Việt intech thuộc nhóm veneer bảo tồn, chỉ mài rất ít, một số trường hợp có thể không mài. Điều này thực hiện được là do nha khoa sử dụng vật liệu sứ thủy tinh cao cấp, ứng dụng công nghệ hiện đại và được thực hiện bởi các bác sĩ giỏi.
Vật liệu sứ thuỷ tinh vốn được đánh giá có độ cứng cao và khi được nén (Press), veneer có thể được chế tác siêu mỏng (có thể xuống đến khoảng 0.1mm), giúp hạn chế tối đa việc xâm lấn mô răng thật. Nếu được sửa soạn đúng kỹ thuật, miếng sứ Veneer sẽ "hòa làm một" với răng thật. Điều này không chỉ giúp mặt sứ không bị bong vỡ mà còn ngăn ngừa ê buốt răng.
Để trả lời thực chứng cho câu hỏi dán sứ veneer có tốt không, sự tinh tế nằm ở việc tính toán khoảng không gian tối thiểu cần thiết để thay đổi hình thể răng mà không chạm đến ngà răng. Tại Lạc Việt Intech, kỹ thuật xâm lấn tối thiểu không chỉ dựa vào cảm giác tay của bác sĩ mà còn được hỗ trợ bởi kính hiển vi nha khoa và các công cụ dẫn đường khác để đảm bảo độ chính xác tuyệt đối trong từng thao tác.
Laminate Veneer tạo ra liên kết sinh học bền vững
Sức mạnh của Veneer không chỉ nằm ở bản thân miếng sứ mỏng manh, mà ở kỹ thuật xử lý bề mặt chuyên sâu. Thông qua hệ thống dán dính trung gian cao cấp, răng thật và mặt sứ được hóa quyện thành một thể thống nhất, đảm bảo độ bền cơ học vượt trội.
Khác với bọc răng sứ truyền thống dựa vào liên kết vật lý, Laminate Veneer ứng dụng liên kết hóa học. Bác sĩ dùng các dung dịch chuyên dụng để tạo ra các vi hốc trên bề mặt men răng và mặt trong miếng sứ. Các phân tử chất gắn len lỏi vào các vi hốc này, tạo thành các "móc cài" siêu hiển vi. Khi được quang trùng hợp, lớp keo này đóng vai trò như một lớp đệm sinh học, nối liền cấu trúc tinh thể của sứ và men răng thành một khối đồng nhất.
Giá trị cốt lõi của Laminate Veneer được định nghĩa qua hệ quy chiếu rất khắt khe:
Liên kết sinh học này kín khít đến mức vi khuẩn không thể xâm nhập vào khoảng hở giữa sứ và răng. Điều này bảo vệ răng thật khỏi tình trạng sâu răng tái phát hoặc viêm tủy từ bên trong.
Khi đã được dán dính đúng kỹ thuật vào men răng, mặt sứ Veneer sẽ có mô-đun đàn hồi và độ cứng tương đương với men răng tự nhiên. Điều này giúp hệ thống răng - sứ chịu được áp lực ăn nhai cực lớn mà không bị bong tách hay nứt vỡ.
Laminate Veneer tạo nên tổng thể hài hòa
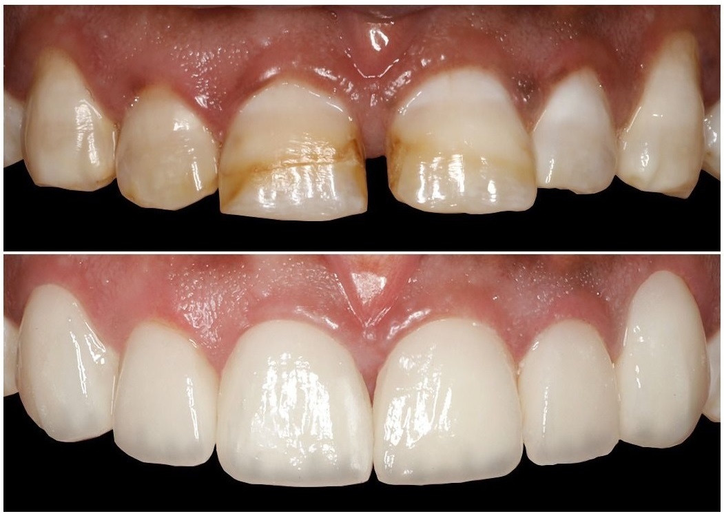
Laminate Veneer sử dụng dòng sứ thủy tinh có độ trong mờ và khả năng phản chiếu ánh sáng tương tự men răng thật. Màu sắc được chế tác có sự chuyển tông từ cổ răng đến rìa cắn, tạo nên độ sâu sinh học.
Thực tế, để đánh giá dán sứ veneer có tốt không, ta cần nhìn vào cách màu răng được bác sĩ lựa chọn dựa trên màu da, màu lòng trắng mắt và độ tuổi của bệnh nhân. Điều này đảm bảo sau khi dán, nụ cười trông rạng rỡ nhưng vẫn "thật" như chưa hề có sự can thiệp nhân tạo.
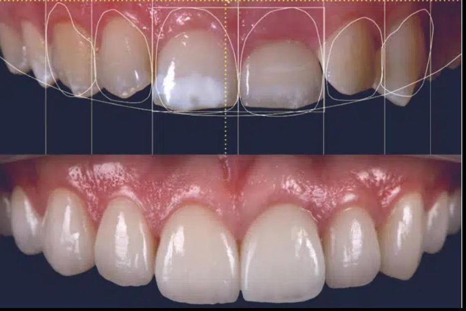
Tại nha khoa Lạc Việt Intech, sự hài hòa của Laminate Veneer còn được tính toán dựa trên các trục tọa độ của gương mặt, thể hiện tính cá nhân hóa. Thông qua phân tích của công nghệ thiết kế nụ cười Digital Smile Design, bác sĩ sẽ tinh chỉnh hình dáng rìa cắn cá nhân hóa, giúp nụ cười phản ánh đúng cá tính và thần thái riêng của mỗi khách hàng.
Có thể thấy rằng, Laminate Veneer đang là lựa chọn hàng đầu cho khách hàng muốn kiến tạo nụ cười thông qua phương pháp dán sứ veneer.
Có nên dán sứ Laminate Veneer không?
Khác với các dòng sứ thông thường chỉ tập trung vào hiệu ứng thẩm mỹ tức thời, Laminate Veneer tại Lạc Việt Intech theo đuổi triết lý bền vững: “Một nụ cười đẹp phải là nụ cười “sống được” trong đời sống hằng ngày”. Nếu băn khoăn “có nên dán sứ veneer không”, quý khách hàng có thể tìm hiểu về các dòng Laminate Veneer tại Lạc Việt Intech.
Dán sứ Laminate Veneer có những ưu điểm sau đây:
Bảo tồn răng thật: "Nền móng" của sự ổn định và bền vững
Bảo tồn cấu trúc răng tự nhiên không chỉ là mục tiêu y khoa mà còn là điều kiện tiên quyết để kéo dài tuổi thọ mặt sứ. Việc giữ lại tối đa men răng giúp duy trì độ cứng và sức sống nguyên bản của răng thật, tạo ra một giá đỡ vững chắc. Khi nền răng khỏe mạnh, mặt sứ sẽ tồn tại bền lâu dựa trên sự ổn định sinh học thay vì chỉ phụ thuộc vào vật liệu nhân tạo.
Cân bằng giữa độ cứng và tính đàn hồi nhờ vật liệu cao cấp
Để khẳng định dán sứ veneer có tốt không dưới góc độ kỹ thuật, ta có thể thấy dòng sứ Lithium Disilicate cao cấp mang lại cho Laminate Veneer những chỉ số cơ học rất ấn tượng:
- Độ bền uốn đạt từ 360-400 MPa (có thể lên tới 500 MPa khi chế tác đúng kỹ thuật). Nhờ đó, mặt sứ dù được chế tác siêu mỏng vẫn chịu được lực nhai sinh lý mạnh mẽ tại vùng răng cửa và răng hàm nhỏ.
- Độ cứng bề mặt lý tưởng với chỉ số 2.75 MPa tương đương với men răng tự nhiên. Điều này giúp ngăn chặn sự mài mòn trong sinh hoạt hàng ngày nhưng lại đủ "mềm mại" để không gây tổn thương cho răng đối diện.
Chính sự cân bằng hoàn hảo giữa sức bền cơ học và độ đàn hồi sinh học này đã biến mỗi mặt dán sứ thành một lớp bảo vệ vững chãi, cho phép bạn hoàn toàn yên tâm tận hưởng cuộc sống mà không cần lo ngại về vấn đề nứt vỡ hay mài mòn theo thời gian.
Cơ chế liên kết hóa học bền vững
Sức mạnh của sứ Lithium Disilicate nằm ở khả năng phản ứng ưu việt với hệ thống dán dính:
- Siêu liên kết cơ học: Quá trình xử lý Acid Hydrofluoric (HF) tạo ra các vi cấu trúc nhám siêu hiển vi trên bề mặt sứ, làm tăng diện tích tiếp xúc với keo dán.
- Cầu nối hóa học Silane: Chất trung gian Silane tạo ra sự liên kết phân tử chặt chẽ giữa bề mặt giàu Silica của sứ và nhựa Resin trong xi măng dán. Sự kết hợp này biến mặt sứ và men răng thành một thực thể đồng nhất, triệt tiêu hoàn toàn nguy cơ bong tróc hay ngấm màu theo thời gian.
Sự cộng hưởng giữa cơ chế dán dính hiện đại và cấu trúc vật liệu ưu việt này chính là câu trả lời rõ ràng nhất cho việc dán sứ veneer có tốt không. Chính hệ thống này đã thiết lập nên một "liên kết vĩnh cửu", biến mặt sứ thành một phần không thể tách rời của răng thật, đảm bảo độ bền chắc tuyệt đối trước mọi tác động của môi trường miệng.
Độ khít sát vi thể và sự ổn định mô nướu
Nhờ ứng dụng công nghệ thiết kế nụ cười kỹ thuật số (DSD), mọi đường viền cổ răng được xử lý với độ chính xác tuyệt đối. Sự khít sát hoàn hảo giữa Veneer và bờ nướu giúp ngăn chặn hoàn toàn "vi kẽ" - nơi vi khuẩn có thể xâm nhập gây viêm nướu, hôi miệng hoặc xỉn màu cổ răng. Khi mô nướu khỏe mạnh và ổn định, tuổi thọ của phục hình sẽ được bảo vệ tối đa.
Thiết kế cá nhân hóa và phân bổ lực nhai khoa học
Thông qua quy trình chuẩn hóa từ DSD đến Wax-up, mỗi mặt dán Veneer được tính toán dựa trên khớp cắn thực tế của từng khách hàng.
- Triệt tiêu điểm chạm sớm: Việc cá nhân hóa giúp mặt sứ ôm sát bề mặt răng, phân bổ đều lực nhai và loại bỏ các điểm tập trung ứng suất - nguyên nhân chính gây nứt vỡ.
- Kiểm soát chức năng: Khi khớp cắn được cân bằng, mọi chuyển động nhai đều trở nên nhẹ nhàng, giúp phục hình bền bỉ qua hàng thập kỷ.
Lưu ý: Bên cạnh sự đột phá về công nghệ và tay nghề bác sĩ, việc duy trì chế độ chăm sóc răng miệng khoa học theo hướng dẫn của chuyên gia Lạc Việt Intech sẽ là mảnh ghép cuối cùng để nụ cười của bạn mãi rạng rỡ và bền vững.
Nên dán sứ veneer ở đâu để đảm bảo uy tín, chất lượng
Laminate Veneer là quy trình phục hình khắt khe yêu cầu sự chuẩn xác tuyệt đối trong từng giai đoạn, từ chẩn đoán đến dán dính lâm sàng, để đạt tới độ hoàn hảo vi thể. Do đó, phương pháp này không dành cho việc sản xuất đại trà mà đòi hỏi sự kết hợp giữa đội ngũ bác sĩ tinh hoa và công nghệ tân tiến để kiến tạo nên những nụ cười bền vững.
Lạc Việt Intech luôn chú trọng tới yếu tố con người, bởi tay nghề của bác sĩ quyết định 70% sự thành công của 1 ca dán sứ veneer. Tất cả bác sĩ phục hình thẩm mỹ tại Lạc Việt Intech đều tốt nghiệp bác sĩ răng hàm mặt và được đào tạo chuyên sâu về phục hình răng sứ thẩm mỹ.
Đặc biệt, Lạc Việt Intech chỉ sử dụng các dòng sứ thủy tinh cao cấp (như Lithium Disilicate) có độ tương thích sinh học cao và khả năng chịu lực vượt trội. Các cam kết minh bạch về trình độ bác sĩ, chi phí điều trị cũng được thực hiện nghiêm túc để mang lại trải nghiệm tốt nhất cho khách hàng.
Nếu quý khách hàng muốn có câu trả lời rõ ràng nhất cho thắc mắc “dán sứ veneer có tốt không” thì hãy tới ngay Nha khoa Lạc Việt Intech để được tư vấn và điều trị cùng các chuyên gia nha khoa. Quý khách hàng cũng có thể liên hệ hotline 0866.380.033 để nhận ưu đãi cho dịch vụ dán sứ veneer.
Bài viết có hữu ích với bạn?
Có thể bạn quan tâm
Đăng ký nhận bản tin sức khoẻ
Để chủ động bảo vệ bản thân và gia đình
Đăng ký nhận bản tin sức khoẻ để chủ động bảo vệ bản thân và gia đình
